Anonymous
Guest
Oct 24, 2025
6:10 PM
|
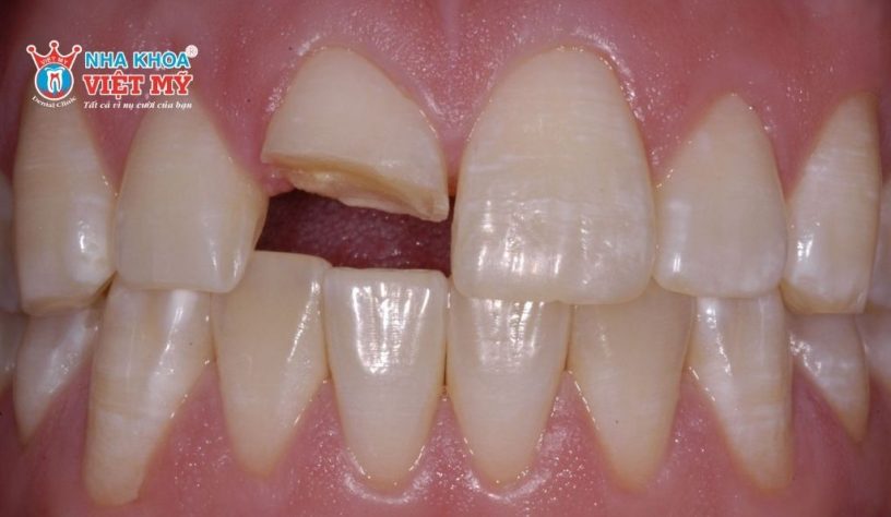
Khi rang bi vo, nhieu nguoi thuong cam thay lo lang va boi roi vi khong biet phai lam gi de khac phuc tinh trang nay. Viec rang bi vo khong chi anh huong den ngoai hinh ma con co the gay dau don va kho khan trong viec an uong. Vi vay, trong bai viet nay, chung toi se chia se voi ban nhung thong tin can thiet ve cach xu ly khi rang bi vo trong linh vuc Nha Khoa.
 Xem Chi Tiet Bai Viet Tai: xu ly khi rang bi voNguyen nhan gay ra rang bi voRang bi vo co the do nhieu nguyen nhan khac nhau, trong do co nhung nguyen nhan pho bien nhu: Xem Tai: Cach xu ly khi rang bi vo - Kinh nghiem cua mot nha si voi 10 nam kinh nghiem

- Tai nan: Day la nguyen nhan chinh gay ra rang bi vo, nhat la khi tham gia cac mon the thao hoac cac hoat dong mao hiem.
- Chan thuong: Neu ban bi danh hoac va cham manh vao vung mieng, rang cung co the bi vo.
- Rang yeu, mong: Neu rang cua ban bi mong va yeu, chung de bi vo hon so voi nhung nguoi khac.
- Khoan rang: Trong qua trinh kham chua benh, neu su dung may khoan khong duoc can than, rang cung co the bi vo.
Cach xu ly khi rang bi voDe xu ly khi rang bi vo, truoc het ban can den nha si de duoc kham va tu van cu the. Sau do, nha si se dua ra cac phuong phap xu ly phu hop voi tinh trang cua rang bi vo. Xem Tai: Cach xu ly khi rang bi vo trong linh vuc Nha Khoa
 1. Su dung vat lieu compositeNeu rang bi vo khong qua nghiem trong, nha si co the su dung vat lieu composite de phuc hinh va tai tao lai hinh dang cua rang. Vat lieu nay co mau sac giong voi mau cua rang va co the duoc tao hinh theo y muon, giup rang tro nen tu nhien nhu ban dau. Xem Tai: Phuong phap xu ly khi rang bi vo trong linh vuc Nha Khoa2. Dieu tri rang bi nutNeu rang bi nut mot mang nho, nha si co the su dung cac ky thuat dieu tri nhu mai mon hoac dat lop veneer de che chan phan rang bi nut va giu cho rang khong bi vo them. 3. Nieng rangTrong nhung truong hop rang bi vo nghiem trong, nha si se tien hanh nieng rang de co dinh va giu cho rang khong di chuyen, tranh tinh trang rang bi vo hoac bi di chuyen them. Nieng rang cung giup rang de dang han lai neu can thiet. 4. Nho rangTrong nhung truong hop rang bi vo qua nghiem trong va khong the phuc hinh duoc, nha si se de xuat phuong an nho rang va thay the bang rang gia hoac cau rang. Viec nho rang cung giup ngan ngua cac bien chung nhu viem nhiem hay nhiem trung vung mieng. Cach phong tranh rang bi voSau khi da xu ly tinh trang rang bi vo, ban can de phong de tranh tinh trang nay tai dien. Duoi day la mot so cach de phong tranh rang bi vo:
- Deo bao ho khi tham gia cac hoat dong mao hiem hoac the thao.
- Tranh nhai nhung thu cung hoac vat la trong mieng.
- Thuong xuyen ve sinh rang mieng dung cach va dinh ky di kham nha khoa de phat hien va dieu tri cac van de ve rang som.
- Chon phuong phap dieu tri rang sau toi uu de tranh tinh trang rang bi mong yeu va de bi vo.
Voi nhung thong tin tren, hy vong ban da hieu ro hon ve cach xu ly khi rang bi vo trong linh vuc Nha Khoa. Dung ngai ngan va tri hoan, hay nhanh chong tham khao y kien cua nha si va dua ra phuong an xu ly thich hop de giu gin nu cuoi tuoi tan va suc khoe toan dien. Nha khoa Viet My la mot trong nhung thuong hieu nha khoa hang dau tai Viet Nam, voi hon 16 nam kinh nghiem trong viec cung cap cac dich vu cham soc va dieu tri rang mieng chat luong cao. Voi su menh mang den nu cuoi dep va khoang thoi gian trai nghiem thoai mai va thu gian cho khach hang, Nha khoa Viet My da va dang khong ngung nang cao chat luong dich vu va cong nghe tham kham hien dai.
Voi he thong nha khoa gom gan 30 chi nhanh dat tai cac tinh khu vuc mien Tay Nam Bo, mien Trung – Tay Nguyen va khu vuc TP.HCM, Nha khoa Viet My da dap ung moi nhu cau cham soc va tham my rang mieng cua khach hang tren khap ca nuoc. Voi doi ngu y bac si giau kinh nghiem, nhiet tinh va tan tam, cung voi trang thiet bi hien dai va tien tien, Nha khoa Viet My cam ket mang den cho khach hang nhung dich vu chat luong va an toan nhat.
Ngoai viec tap trung vao viec cung cap dich vu nha khoa tot nhat, Nha khoa Viet My cung luon chu trong den trach nhiem xa hoi va thien nguyen vi cong dong. Voi cac hoat dong tu thien va chuong trinh cham soc mien phi cho nguoi ngheo, Nha khoa Viet My mong muon gop phan nang cao chat luong cuoc song va nu cuoi cua cong dong.
Voi su cam ket va no luc khong ngung, Nha khoa Viet My da va dang khang dinh duoc vi the la thuong hieu nha khoa uy tin va duoc khach hang tin tuong. Hay den voi Nha khoa Viet My de trai nghiem dich vu tot nhat va co duoc nu cuoi tuyet voi nhat cho ban va gia dinh. #xu_ly_khi_rang_bi_vo, #xulykhirangbivo, #Nha_khoa_Viet_My, #NhakhoaVietMy, #Nha_khoa_Viet_My
|